Гемангиома позвонка

Гемангиомы позвонков – распространенная патология, встречающаяся в популяции у каждого десятого, особенно часто - в старшей возрастной группе.

Выделяют две группы гемангиом позвонков. Первая, наиболее многочисленная (>90%), представлена образованиями неопухолевого генеза в виде очагов ангиоматоза в телах позвонков, возникающих на фоне адипозной инволюции красного костного мозга и остеопороза у лиц преимущественно пожилого возраста. Вторая группа, составляющая менее 10% – истинные гемангиомы, представленные: – пороками развития (сосудистыми мальформациями позвонков); – сосудистыми опухолями (гемангиомами). Четких морфологических различий между двумя видами истинных гемангиом не существует. Отличаются они вариативностью манифестации: от бессимптомных форм до грубых клинических проявлений. Таким образом, диагноз – «гемангиома позвонка», установленный на основании клинико-лучевого симптомокомплекса, может объединять разные по своей патоморфологической сути образования. В связи с чем, возникают сложности при попытках более подробной классификации этой патологии, а также путаница в определении прогноза и показаний к лечению. Под видом гемангиом могут выступать и другие первичные опухоли позвонков, в том числе сосудистого ряда (гемангиоперицитомы, гемангиоэндотелиомы и др.), трудно дифференцируемые по данным лучевых методов диагностики. При возникающих сомнениях в ходе обследования таких пациентов, «гемангиому позвонка» рекомендуется рассматривать как один из возможных диагнозов до тех пор, пока патологический процесс не будет верифицирован морфологически.

В большинстве случаев гемангиомы бессимптомны и обнаруживаются случайно. У женщин гемангиомы выявляются в 2 – 2,5 раза чаще, чем у мужчин. Гемангиомы встречаются во всех отделах позвоночника, но наиболее часто в грудном (60–76%), поясничном (21–29%), реже в шейном (2–11%) и крестцово-копчиковом (до 1%) отделах

Клиническая картина
Абсолютное большинство гемангиом протекают бессимптомно. Клинические проявления заболевания неспецифичны. Боль в спине, являясь основным симптомом у пациентов с гемангиомами позвонков, чаще обусловлена сопутствующей патологией (грыжи межпозвонковых дисков, спондилоартроз, стеноз позвоночного канала и др.), нежели самой гемангиомой. Сопутствующие гемангиоме дегенеративно-дистрофические изменения в позвоночнике являются частой находкой при обследовании такой категории больных.
Корешковые боли отсутствуют, однако если гемангиома выходит за пределы тела позвонка в область позвоночного канала или межпозвонкового отверстия может развиться корешковый болевой синдром.
При агрессивном течении гемангиом возможен ускоренный рост; опухоль занимает более половины тела позвонка, переходит на задние структуры позвонка (ножку и дугу позвонка), либо выходит за пределы позвонка, проникая в позвоночный канал и вызывая соответствующую симптоматику. Патологический перелом на фоне гемангиомы может привести к сдавлению спинного мозга и/или корешков, параличу и нарушению функции тазовых органов.

Диагностика
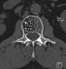
Компьютерная томография является основным методом диагностики диагностики гемангиом позвонков. Она позволяет определить размеры, распространенность, выраженность изменений костной ткани, провести дифференциальную диагностику гемангиом. Главным рентгенологическим признаком гемангиом является специфическая перестройка губчатого вещества тела позвонка, заключающаяся в сочетании частичного лизиса костной ткани с гипертрофией сохранившихся костных трабекул. На аксиальных срезах тело позвонка напоминает "пчелиные соты".
Магнитно-резонансная томография высоко информативна в отношении гемангиом позвонков и рассматриватся как вспомогательный метод диагностики. Типичная МР-картина гемангиом позвонков характеризуется неоднородным сигналом на Т1- и Т2-взвешенных изображениях (ВИ). Этот паттерн представлен множественными зонами как высокого, так и низкого по интенсивности сигнала, что вызывает картину «испещрённости». При этом области низкого или изоинтенсивного сигнала как на Т1 так и Т2 ВИ соответствуют костные трабекулы, а иногда сосудистые полости («симптом пустоты потока»). Гиперинтенсивный сигнал в Т1 и Т2 ВИ присущ жировой ткани. Количество жира в структуре гемангиомы обратно пропорционально степени её опухолевой активности. Гемангиомы с высоким содержанием жировой ткани чаще бессимптомны и не характеризуются активным ростом. Округлые или бесформенные, различных размеров жировые включения в телах позвонков, не имеющие симптома «испещрённости» - не являются истинными гемангиомами и должны описываться как очаги липоангиоматоза. Липоангиоматозные образования, относятся к дегенеративной патологии позвоночника, являются следствием адипозной инволюции красного костного мозга и не имеют клинического значения. Очаги липоангиоматоза почти всегда небольших размеров, визуализируются сразу во многих позвонках, могут быть множественными в пределах одного тела позвонка, склонны к слиянию и не имеют специфичных для гемангиом рентгенологических симптомов. Для гемангиом характеризующихся активным ростом, выраженными клиническими проявлениями характерен неоднородный изо-гипоинтенсивный сигнал в Т1 ВИ и 7 гиперинтенсивный сигнал в Т2 ВИ (сигнал жидкости). При этом в режиме жироподавления отмечается резкое увеличение интенсивности сигнала от гемангиомы.
Лечение неосложненных агрессивных гемангиом.
Пункционная вертебропластика на сегодняшний день считается «золотым стандартом» в лечения неосложненных агрессивных гемангиом позвонков. Основной целью вертебропластики является восстановление опороспособности пораженного позвонка, достижение анальгетического и противоопухолевого эффектов. Исследования последнего времени доказывают высокую эффективность вертебропластики в лечении пациентов с агрессивными гемангиомами позвонков, а также компрессионными переломами позвонков травматической этиологии, патологическими переломами вследствие остеопороза, вторичными опухолевыми поражениями позвоночника.

Основными факторами лечебного воздействия вертебропластики являются:
1.Анальгетический.
2.Стабилизирующий.
3.Противоопухолевый.

Анальгетический эффект достигается замещением полости гемангиомы костным цементом, что селективно влияет на патогенетические механизмы боли, индуцированные агрессивной гемангиомой:

1) восстанавливается локальная венозная циркуляция по паравертебральному и эпидуральному сплетениям в области пораженного позвонка;
2) повышается сопротивляемость позвонка аксиальной нагрузке и в целом - осевая опороспособность позвоночника (в т.ч. непрямое воздействие на рефлекторно-мышечные компоненты боли);
3) происходит термическое разрушение части болевых рецепторов тела позвонка.
Стабилизирующий эффект обусловлен увеличением биомеханической прочности тела (препятствует или останавливает развитие компрессионного перелома пораженного тела позвонка);

Противоопухолевый (цитотоксический) эффект (доказан in vitro): происходит химическое воздействие на ткань опухоли токсичным мономером костного цемента, а также термическое воздействие посредством экзотермической реакции при полимеризации костного цемента